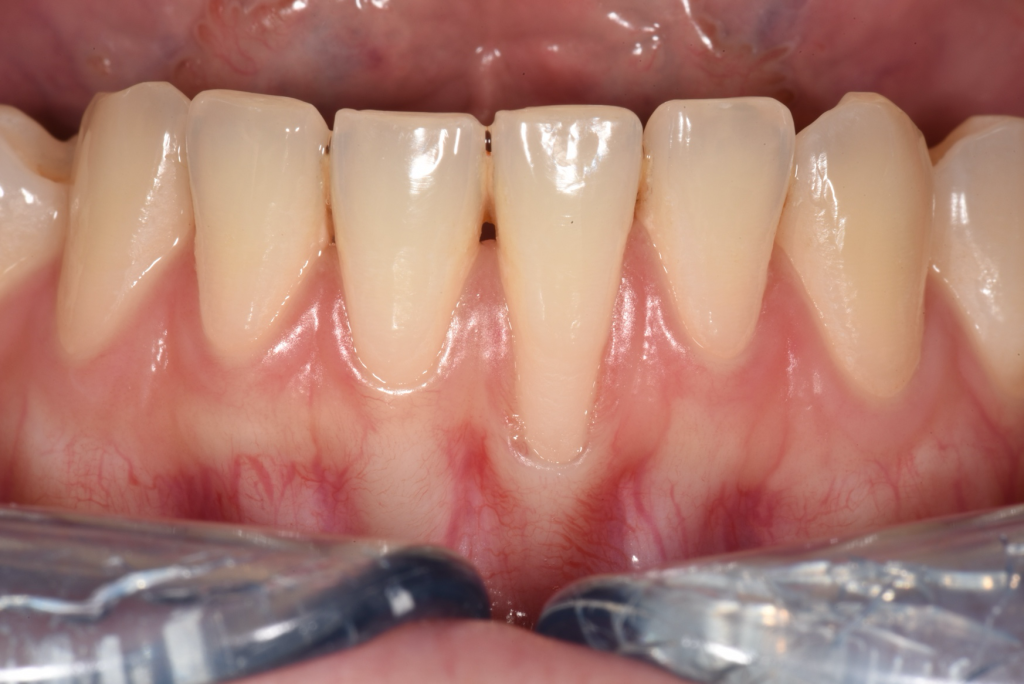
Ever noticed your gums slowly pulling away from your teeth? This condition, known as receding gums, is a common dental concern that can make teeth look longer and expose their roots. It often develops gradually due to everyday factors like brushing too hard, gum disease, or even natural ageing.
Because it progresses slowly and without much pain at first, many people don’t realize they have receding gums until the problem becomes more serious. The good news is that when detected early, it can be managed effectively. In this article, we’ll share how to spot the signs, why timely treatment matters, and what you can do to prevent gum recession from worsening.
How do I know if I have receding gums?
– Your tooth may look “longer”
– The gum line looks uneven
– You may notice some exposure of the tooth root, which is of a different colour (usually darker/more yellowish)
Why do I have receding gums?
A few common causes of receding gums include:
– Overly aggressive toothbrushing habits
– Previous orthodontic (braces) treatment, especially if your gums are very thin to begin with
How can receding gums be treated?
– A minor gum surgery is done under local anaesthesia
– A small piece of gum tissue is taken from another area (usually the palate at the upper jaw), and placed at the tooth with gum recession
– Your existing gum tissues are then used to “cover” the gum recession
After gum surgery: the previously exposed root of the lower right canine is now almost completely covered
Is this treatment painful? Will it affect my daily life?
As it is a minor procedure done under local anaesthesia, there is no pain during the procedure. Although minor pain and swelling is to be expected after the treatment, this usually subsides within the first 2-3 days and is generally well-tolerated.
Painkillers are prescribed to help with comfort during the recovery period. Other than adhering to certain precautions (such as avoiding eating and chewing at the affected side), daily activities may be continued as usual.
Can I just leave it alone and hope that it gets better with time?
Generally, this is not recommended as long-term studies have shown that receded gums tend to recede more over time. Treatment is also less predictable when the recession is more severe. Hence, it is always advisable to at least have a detailed check and assessment done by one of our Periodontists (gum specialists) earlier rather than later.
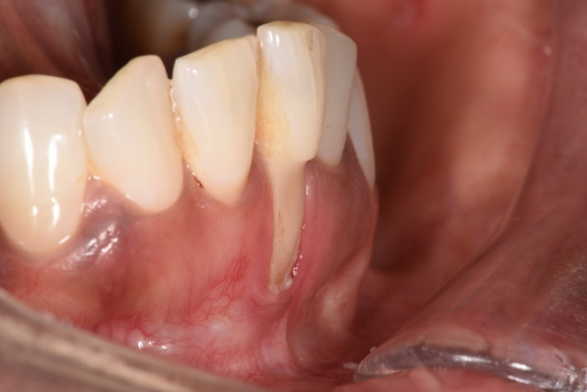
In severe cases when gum recession has been left untreated, nearly the entire root of the tooth may end up being exposed. This can lead to bacterial accumulation and possibly even loss of the tooth itself.
An example of a lower front tooth suffering from severe gum recession. Note the accumulation of plaque on the root. Nearly the entire root has been exposed.
What can I do to prevent the recession from worsening?
Start brushing with a soft bristled toothbrush and avoid using excessive force
If you have these habits, stop doing it immediately: “picking” at the area with your fingernail, or biting on a pen/pencil at the area
Conclusion
Don’t let receding gums affect your oral health and overall well-being. Gentle treatments such as gum grafting performed by gum specialists (periodontists) can help protect exposed roots, reduce sensitivity, and restore stability to your gums. At-home care, including proper brushing techniques and healthy daily habits, also plays a key role in preventing gum recession from worsening.
At Royce Dental Group, our team can help address gum concerns early, before they progress – and support you in preserving your natural smile. Contact us today to schedule a consultation and take the first step towards healthier gums.


