Articles

Invisalign in Singapore: What Blue Diamond Provider Status Really Means

December 30, 2025

5 Things I Would (and Wouldn’t) Do as a Periodontist

October 29, 2025

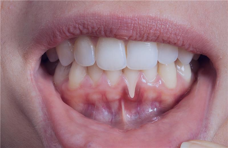
Gum (Periodontal) Disease: What to look out for and how to prevent it

October 2, 2025

Lost One or More Teeth? Here Are Your Options

July 31, 2025

Say Goodbye to Loose Dentures with All-on-X Dental Implants

July 31, 2025

Receding Gums and How to Treat Them

July 31, 2025

Book An Appointment

Call or Whatsapp us at 91180152 or submit an enquiry below.

Click here to schedule your visit online.